Covid X Ray Dataset Kaggle
Covid X Ray Dataset Kaggle. Common unsupervised tasks include clustering and association. The problem is here hosted on kaggle.

Brax contains 24,959 chest radiography exams and 40,967 images acquired in a large general brazilian hospital. Google classroom is a free blended learning platform developed by google for educational institutions that aims to simplify creating, distributing, and grading assignments. Kaggle solutions and ideas by farid rashidi.
Fitbit Is An American Consumer Electronics And Fitness Company.
All images have been read by trained radiologists and 14 labels were derived from brazilian portuguese reports using nlp. Unless specifically stated in the applicable dataset documentation, datasets available through the registry of open data on aws are not provided and maintained by aws. Data will be collected from public sources as well as through indirect collection from.
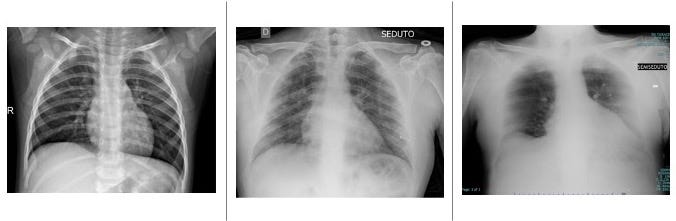
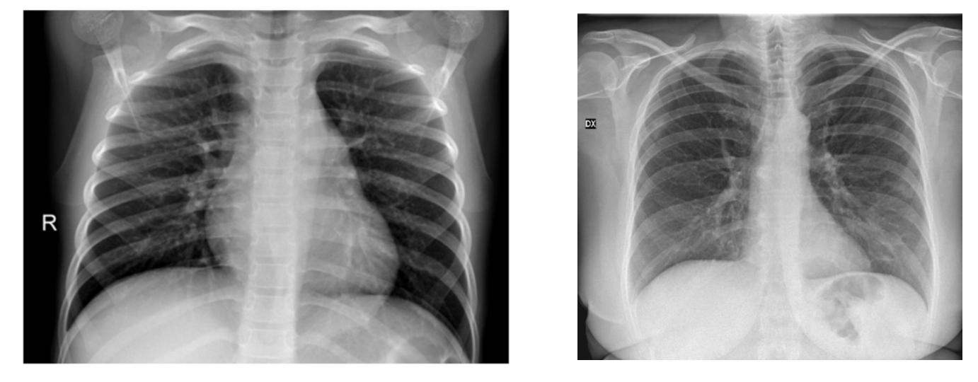
Content Dataset Is Organized Into 2 Folders (Train, Test) And Both Train And Test Contain 3 Subfolders (Covid19, Pneumonia, Normal).
To generate the covidx dataset, we combined and modified five different publicly available data repositories: Users solve the problems by running their solutions on their computer, processing the given dataset, and copy/pasting the output to check the answer. In 2019, fitbit was the fifth largest.
The Company Was Acquired By Google In 2021.
This is a list of almost all available solutions and ideas shared by top performers in the past kaggle competitions. Visualize class activation maps with keras, tensorflow, and deep learning. Common unsupervised tasks include clustering and association.
Machine Learning Is Now One Of The Hottest Topics Around The World.
Unsupervised learning algorithms attempt to ‘learn’ patterns in unlabeled data sets, discovering similarities, or regularities. In some practice, we will include three variables as well. Our deep auc (roc) maximization method has achieved the 1st place on stanford chexpert competition organized by andrew ng’s ml group on august 2020.
Brax Contains 24,959 Chest Radiography Exams And 40,967 Images Acquired In A Large General Brazilian Hospital.
You can also filter your searches per license, dataset size and file types. In this article, we will understand and visualize some data using univariate and bivariate data analysis. Movies have exponential growth from the start but due to covid, it is going downwards.
Post a Comment for "Covid X Ray Dataset Kaggle"