Skip to content Skip to sidebar Skip to footer

Covid Pneumonia Chest X Ray

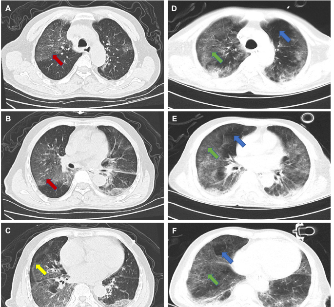
Covid Pneumonia Chest X Ray. Review/update the information highlighted below and resubmit the form. Covid is possibly better diagnosed using radiological imaging fang, 2020.

Covid Pneumonia / Cureus Predicting Covid 19 Pneumonia
Covid Pneumonia / Cureus Predicting Covid 19 Pneumonia from discovertia.blogspot.com

Covid is possibly better diagnosed using radiological imaging fang, 2020. Review/update the information highlighted below and resubmit the form. This can help your doctor visualize changes in.

There Is A Problem With Information Submitted For This Request.


Companies are developing ai tools and deploying them at hospitals wired 2020. Covid is possibly better diagnosed using radiological imaging fang, 2020. When viewed against a lit background, your doctor can look.

Review/Update The Information Highlighted Below And Resubmit The Form.


This can help your doctor visualize changes in. There are still people who.

Post a Comment for "Covid Pneumonia Chest X Ray"